Bệnh nhân COVID-19 xuất huyết não do vỡ dị dạng mạch máu
Ngày 13/3, Khoa Cấp cứu COVID - Bệnh viện TP Thủ Đức (TP HCM) đã tiếp nhận ông N.V.H.N (67 tuổi) ngụ tại phường Tam Bình, thành phố Thủ Đức.

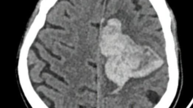
Hình ảnh chụp cắt lớp vi tính sọ não người bệnh. Ảnh: BVCC
Trước đó 1 giờ, bệnh nhân đang ngồi thì tự té, không đứng lên được, nôn ói thức ăn và đại tiện không kiểm soát, người nhà lay gọi không trả lời nên đã đưa đến Bệnh viện thành phố Thủ Đức. Qua test nhanh, ông N dương tính với SARS-CoV-2.
Khi thăm khám, bệnh nhân có các biểu hiện lơ mơ, nôn ói, liệt nửa người, babinski bên phải; chụp cắt lớp vi tính sọ não (CT scan) và chụp mạch máu não (CTA) cho thấy có tình trạng xuất huyết nhu mô não thùy trán trái lượng trung bình, tràn não thất do vỡ dị dạng mạch máu não (AVM). Bệnh nhân được nhanh chóng chuyển lên phòng can thiệp mạch máu não với phương pháp nút keo gây tắc mạch máu, sau can thiệp bệnh nhân được theo dõi tiếp tại Khoa hồi sức COVID.
Hiện bệnh nhân đã tỉnh lại, có tiếp xúc tốt nhưng còn yếu nửa người phải. Kế hoạch điều trị tiếp theo dành cho người bệnh là tiếp tục vật lý trị liệu, chụp kiểm tra não sau 3-6 tháng để đánh giá lại mức độ hồi phục và diễn tiến dị dạng mạch máu.
Theo bác sĩ CKI Trần Nguyễn Khánh, Phó Khoa Nội thần kinh Bệnh viện TP Thủ Đức trực tiếp thực hiện can thiệp, chia sẻ thông tin ca bệnh: Xuất huyết não do vỡ dị dạng mạch máu là một dạng xuất huyết não có diễn tiến phức tạp; ổ xuất huyết có nguy cơ diễn tiến tăng thể tích, khiến não bị chèn ép, đẩy lệch, thoát vị não dẫn đến hôn mê sâu và tử vong.
“Xuất huyết não cấp là một tình trạng cấp cứu thần kinh nặng, với nguy cơ tử vong và tiên lượng để lại di chứng tàn phế cao. Bệnh nhân vào viện với bệnh cảnh xuất huyết não cấp tràn não thất do vỡ dị dạng mạch máu, là một bệnh cảnh nặng và phức tạp. Tình trạng lúc vào viện bệnh nhân có mức ý thức xấu, lơ mơ trên nền sức khỏe suy kiệt, nhiễm COVID–19. Nhưng với sự phối hợp nhịp nhàng giữa các chuyên khoa liên quan: Khoa Cấp cứu COVID, Nội thần kinh – can thiệp mạch thần kinh, Gây mê hồi sức, Hồi sức COVID, Chẩn đoán hình ảnh đã giúp chẩn đoán sớm, tiến hành hồi sức và can thiệp điều trị kịp thời, hiệu quả trên ca bệnh phức tạp này”, bác sĩ CKII Lê Trần Vinh – Trưởng Khoa Nội thần kinh Bệnh viện TP Thủ Đức cho biết.
Với ca bệnh này, Bệnh viện TP Thủ Đức từng bước hoàn thiện quy trình khám, điều trị giúp cho bệnh nhân có bệnh lý cấp cứu/đồng mắc COVID-19 được tiếp cận điều trị chuyên khoa nhanh chóng.




In bài viết
